
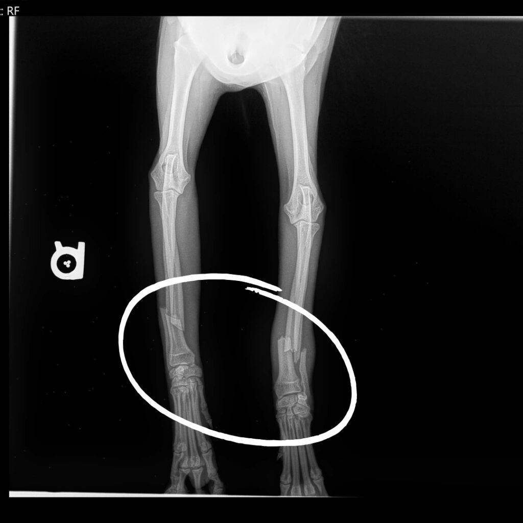
Riga Tony recently arrived at our Sam Swope Pet Treatment and Lifesaving Center in desperate need of our help after being hit by a car. He was clearly injured and unable to bear weight on either of his front legs without whining in pain. Our hearts broke for this poor two-year-old pup, so we welcomed him with open arms and promised to help as best as we can. We provided Riga Tony with medication to help him find relief and keep any potential infections from setting in, before taking several x-rays. Our worst fears were quickly confirmed: both of Riga Tony’s front legs are broken in two places.


Riga Tony’s recovery won’t be quick or easy. We’ve splinted his injuries, and have called a specialist who will soon determine if they can help this sweet pup make a full recovery without needing an amputation. Amputation surgery may still be necessary in the future, but our hope is that he will be able to keep at least one of his front legs when all is said and done. For now, Riga Tony is resting under our vet team’s watchful eyes. We will keep you posted on his progress but in the meantime, please donate to support lifesaving medical care for vulnerable animals just like Riga Tony.


